г. Симферополь, пгт. Молодежное,
ЖК «Солнечный парк»
ул. Парковая 2, помещение 10
Добро пожаловать в нашу клинику, где мы объединили стоматологию и косметологию для достижения гармонии вашей улыбки и внешности.
У нас работают квалифицированные специалисты, которые используют новейшее оборудование и высококачественные материалы для обеспечения наилучших результатов.
Наша стоматология и косметология станут надежными партнерами в пути к Вашему совершенству
При профессиональной чистке полости рта каждому пациенту предоставляется уходовый набор в ПОДАРОК!
Профессиональная чистка полости рта
Ультразвуковая - от 2 200 ₽
Аппаратом Kavo - от 2 700 ₽
Лечение кариеса
Фотополимерная реставрация
от 4 000 ₽
Лечение пульпита
от 3 200 ₽
Металлокерамика коронка
от 12 000 ₽
Безметалловая керамика, виниры
от 20 000 ₽
Съемное протезирование
Полное - от 20 000 ₽
Частичное - от 15 000 ₽
от 8 000 ₽
Удаление зуба
Простое - от 1 800 ₽
Сложное - от 2 500 ₽
Молочных - от 800 ₽
Брекеты
от 25 000 ₽
Имплантация
Только премиум материалами
от 25 000 ₽
Принимаем детей
Детский прием
от 1 500 ₽
Плазмолифтинг от 4000р
Ботокс от 4500р
Биоревитализация от 4000р
Увеличение губ от 10000р
Контурная пластика от 12000р
Лазерная эпиляция (Израиль) от 1500р
Лечение акне, пигментации, купероза (Израиль) от 5000р
Безинъекционная мезотерапия от 1500р
Массаж лица - 2500р
Чистка лица - от 3000р
Пилинги - от 2500р
Маски от 1000р
Уходовые процедуры от 3000р
Лучшие условия для вас

Акция действует до 30 октября
Акция действует до 5 ноября
Мы предлагаем высококвалифицированные услуги на новом оборудовании с качественными материалами и опытными специалистами.
В нашей клинике Вас принимают врачи с учеными степенями - кандидаты медицинских наук, доценты.
Комплексное решение стоматологических проблем наряду с разработкой персонального плана лечения.
У нас широкий спектр услуг, наша клиника может стать Вашей семейной клиникой красивой улыбки самых маленьких и самых мудрых пациентов.

После анализа цен на медицинские услуги мы предлагаем средние цены на услуги высокого класса.
В нашей клинике на все услуги существует фиксированный прейскурант, но мы всегда готовы пойти Вам навстречу и каждый план лечения обсуждаем индивидуально.
У нас комфортное обслуживание, вежливый и доброжелательный персонал,
Гасанли Зара Халис
Специализация:
Глав-врач, терапевт, ортопед
Образование:
КФУ имени В.И.Вернадского
Медицинская академия имени С.И.Георгиевского, 2015г
Гасанова Илаха Халис
Специализация:
Врач-дерматовенеролог, косметолог, кандидат медицинских наук, доцент
Образование:
ГУ « Крымский государственный медицинский университет имени С. И. Георгиевского», 2011г.
Полещук Ольга Юрьевна
Специализация:
Детский стоматолог, терапевт
кандидат медицинских наук., доцент
Образование:
Крымский медицинский институт имени С.И.Георгиевского, 1999г.
Енилеев Руслан Решатович
Специализация:
Врач хирург
Образование:
Харьковский национальный медицинский университет, 2016г.
Максутова Эльмаз Куртяхьяевна
Специализация:
Медицинская сестра в косметологии
Образование:
Крымский медицинский колледж, лечебное дело, 2014г.
Сестринское дело в косметологии, 2020г.
Чигилов Денис Витальевич
Специализация:
Врач стоматолог общей практики, Врач терапевт, Врач хирург
Образование:
КФУ имени В.И.Вернадского
Крымская медицинская академия имени С.И.Георгиевского, 2019г.
Точилко Дмитрий Михайлович
Специализация:
Челюстно лицевой хирург
Образование:
Крымский медицинский колледж, лечебное дело, 2014г.
Сестринское дело в косметологии, 2020г.
Гасанли Зара Халис
Специализация:
Глав-врач, терапевт, ортопед
Образование:
КФУ имени В.И.Вернадского
Медицинская академия имени С.И.Георгиевского, 2015г.
Гасанова Илаха Халис
Специализация:
Врач-дерматовенеролог, косметолог, кандидат медицинских наук, доцент
Образование:
ГУ « Крымский государственный медицинский университет имени С. И. Георгиевского», 2011г.
Полещук Ольга Юрьевна
Специализация:
Детский стоматолог, терапевт
кандидат медицинских наук., доцент
Образование:
Крымский медицинский институт имени С.И.Георгиевского, 1999г.
Максутова Эльмаз Куртяхьяевна
Специализация:
Медицинская сестра в косметологии
Образование:
Крымский медицинский колледж, лечебное дело, 2014г.
Сестринское дело в косметологии, 2020г.
Енилеев Руслан Решатович
Специализация:
Врач хирург
Образование:
Харьковский национальный медицинский университет, 2016г.
Чигилов Денис Витальевич
Специализация:
Врач стоматолог общей практики, Врач терапевт, Врач хирург
Образование:
КФУ имени В.И.Вернадского
Крымская медицинская академия имени С.И.Георгиевского, 2019г.
Точилко Дмитрий Михайлович
Специализация:
Челюстно лицевой хирург
Образование:
КФУ имени В.И.Вернадского
Крымская медицинская академия имени С.И.Георгиевского, 2019г.
Гасанли Зара Халис
Специализация:
Глав-врач, терапевт, ортопед
Образование:
КФУ имени В.И.Вернадского
Медицинская академия имени С.И.Георгиевского, 2015г
Гасанова Илаха Халис
Специализация:
Врач-дерматовенеролог, косметолог, кандидат медицинских наук, доцент
Образование:
ГУ « Крымский государственный медицинский университет имени С. И. Георгиевского», 2011г.
Полещук Ольга Юрьевна
Специализация:
Детский стоматолог, терапевт
кандидат медицинских наук., доцент
Образование:
Крымский медицинский институт имени С.И.Георгиевского, 1999г.
Максутова Эльмаз Куртяхьяевна
Специализация:
Медицинская сестра в косметологии
Образование:
Крымский медицинский колледж, лечебное дело, 2014г.
Сестринское дело в косметологии, 2020г.
Енилеев Руслан Решатович
Специализация:
Врач хирург
Образование:
Харьковский национальный медицинский университет, 2016г.
Чигилов Денис Витальевич
Специализация:
Врач стоматолог общей практики, Врач терапевт, Врач хирург
Образование:
КФУ имени В.И.Вернадского
Крымская медицинская академия имени С.И.Георгиевского, 2019г.
Енилеев Руслан Решатович
Специализация:
Точилко Дмитрий Михайлович
Образование:
Челюстно лицевой хирург
Врач осмотрит Вас и расскажет все возможности и риски.
Вы на месте сможете определиться


Нажимая на кнопку вы даете согласие на обработку персональных данных
Мы работаем на вашу красивую улыбку


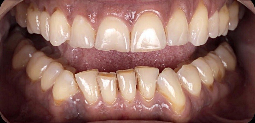
До
После
Была выполнена реставрация зубов


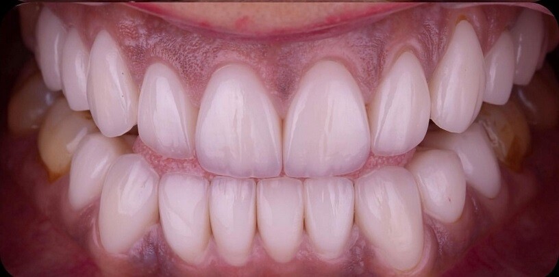
До
После
Была выполнена реставрация зубов
г. Симферополь, пгт. Молодежное,
ЖК «Солнечный парк»
ул. Парковая 2, помещение 10
Пн- Сб. 8.00-21.00
СТОМОТОЛОГИЧЕСКАЯ КЛИНИКА
ИП Гасанли Заргул Халис
Copyright © 2024 Крымская Улыбка | Все права защищены | 2020 - 2024 гг.